关呈超

关呈超

执业医师

上海美奥口腔门诊部

点评 详情
  • 要发粽子了

    要发粽子了

    5

    整体效果

    5

    知识技能

    5

    审美能力

    5

    艺术创造力

    5

    职业素养

    5

    沟通与综合表达能力

    5

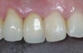
    我种植了两颗牙齿,之前的那两颗牙齿都是小时候的潜在蛀牙,现在长大后已经烂在里面了,所以只好拔了之后再做种植牙。种植牙后的情况一直都很好,吃东西牙口也很好。

    体验项目:种植牙

    2023-06-08 15:18:08
    有用(0)
    评论(0)
联系客服

400-888-7710

  • 一对一服务
  • 快速约见医生
  • 专享私人定制
  • 安全不套路